概述儿童发生佝偻病,多表现为骨骼改变和运动功能发育迟缓,例如方颅、肋骨串珠、鸡胸、漏斗胸等骨骼方面的畸形,有时会影响肌张力。症状佝偻病在临床指维生素D缺乏性佝偻病。根据不同的表现,将疾病症状分为初期、活动期、恢复期、后遗症期。初期初期多见于6个月以内,特别是3个月以内小婴儿。多为神经兴奋性增高的表现,如易激惹、烦闹等。此期常无骨骼病变,骨骼X线可正常,或钙化带稍模糊。

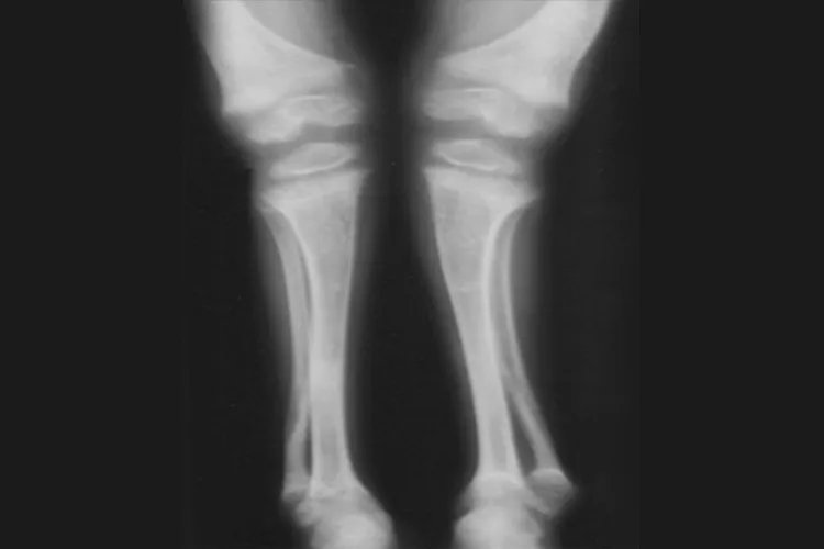
活动期活动期6月龄以内婴儿的佝偻病以颅骨改变为主,前囟边较软,颅骨薄。6月龄以后,颅骨软化消失,至7-8个月时,变成“方盒样”头型即方头。骨骺端因骨样组织堆积而膨大,出现佝偻病串珠,手腕足踝部亦可形成钝圆形环状隆起,称手足镯。1岁左右的小儿可见到胸骨和邻近的软骨向前突起,成“鸡胸样”畸形,严重佝偻病的小儿,膈肌附着处的肋骨受膈肌牵拉而内陷,胸廓的下缘可形成一水平凹陷,称作肋膈沟或郝氏沟。由于骨质软化与肌肉关节松弛,小儿开始站立与行走后双下肢负重,可出现股骨、胫骨、骨弯曲,形成严重膝内翻或膝外翻。




恢复期在恢复期经治疗及日光照射后临床症状和体征逐渐减轻或消失。

后遗症期后遗症期多见于2岁以后的儿童。因婴幼儿期严重佝偻病,残留不同程度的骨骼畸形。

病因佝偻病是多种因素导致的慢性疾病,如围生期维生素D缺乏、日照不足、生长速度过快、食物中补充维生素D不足及受到疾病或者药物的影响等。治疗佝偻病治疗目的在于控制活动期,防止骨骼畸形。多数佝偻病属于自限性疾病,婴儿若能保证足够的户外活动,正常辅食添加,佝偻病也可能自愈。佝偻病的预防和治疗主要还是需要在医生的指导下补充维生素D和钙剂。
