概述难看的牙齿属于对症状的描述,一般可表现为牙齿染色、牙齿拥挤,以及牙缝增宽等。导致牙齿难看的原因有很多,常见的原因有氟牙症、牙列拥挤、牙列间隙等。症状不同原因导致难看的牙齿,其症状也不同,每种情况的症状如下:氟牙症属于着色牙,如呈着色型,可被棕染;缺损型时牙齿颜色可为巧克力色至黑色不等,且美观性会受到严重的影响。

-

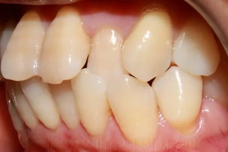
牙列拥挤首先表现为个别牙或多个牙呈各种方向错位,错位牙可呈单一错位,也可以同时有几种错位。

-

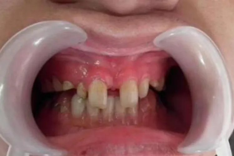
牙列间隙局部间隙多在上中切牙之间、畸形侧切牙区或缺牙部位,且牙列间隙较宽。

病因不同原因导致难看的牙齿,其根本病因也不同,具体如下:氟牙症主要是因为食物、水中的氟对牙釉质造成影响,氟牙症最可能的机制是摄入的氟通过降低矿化环境中游离钙离子的浓度,间接影响蛋白酶的活动,从而导致牙釉质脱矿、染色。牙列拥挤其主要原因是牙齿数目过多,或者是牙齿体积过大,还可能与遗传、不良习惯、替牙期障碍等有关。牙列间隙其主要的原因是牙齿数目过少或者牙齿体积过小,还可能与阻生牙、颌骨发育过大有关。治疗由于导致牙齿难看的原因不同,因此,其相应的治疗措施也不同。氟牙症对于无实质性缺损的氟牙症,前牙可采用脱色法,后牙可不予处理;对于有实质性缺损的氟牙症,可采用复合树脂粘接修复,重者也可采用贴面、全冠修复等方法处理。牙列拥挤中度拥挤多为可拔可不拔的边缘病例,应全面测量分析后再决定矫治方案,原则是能不拔牙时尽可能不拔牙。重度拥挤一般采用减数治疗。通常选择的拔牙部位是前磨牙,多采用左右对称、上下协调减数,以保持牙颌面的协调美观,然后再使用矫治器保持。牙列间隙首先应分析间隙属可关闭还是不可关闭的间隙。可关闭间隙的矫治方法在去除病因后,一些替牙期的间隙能自行调整。若仍存在间隙则必须使用矫治器治疗,可以使用活动矫治器,加附簧关闭间隙。若为恒牙期,可以使用固定矫治器。不可关闭间隙的矫治方法可先通过正畸治疗集中间隙,之后进行修复治疗,最后进行保持器保持。
